Restoring Severely Compromised Dentition in Kandivali, Mumbai
Advanced Dental Restoration Using Cast Post-Core and DMLS Crown | Dr. Uttkarsh Shah
Can a Severely Damaged Tooth Still Be Saved?
When a tooth is extensively damaged due to decay, many patients assume extraction is the only option. But is it always necessary to remove the tooth? In many cases, with the right expertise and advanced techniques, even severely compromised teeth can be restored successfully.
At The Smile Connect Clinic in Kandivali, Dr. Uttkarsh Shah focuses on preserving natural teeth whenever possible. This case demonstrates how a structurally weakened tooth was restored using a custom cast post and core with DMLS crown technology, ensuring long-term strength and functionality.

Case Overview
Doctor
Dr. Uttkarsh Shah, Prosthodontist & Implantologist and Mansi Shah
Clinic
The Smile Connect Clinic, Kandivali, Mumbai
Patient Age
54 years
Concern
Severely damaged tooth with minimal remaining crown structure
Treatment
Severely damaged tooth with minimal remaining crown structure
Patient Condition & Clinical Challenge
The patient presented with a grossly decayed tooth and significant loss of clinical crown structure. Only a minimal portion of the tooth remained above the gum line, making it difficult to support a conventional restoration.
Key Challenges
- Insufficient tooth structure for retention
- High risk of fracture under chewing forces
- Limited support for standard crowns or fillings
- Need for long-term durability and stability
The patient was experiencing discomfort while chewing and was concerned about losing the tooth entirely.
Diagnosis
The case was diagnosed as severely compromised dentition due to extensive caries, requiring reinforcement through advanced prosthodontic techniques to restore both structure and function.

Why This Treatment Was Chosen
Instead of opting for extraction and replacement, preserving the natural tooth was prioritized due to adequate root integrity.
Treatment Decision Rationale
- Conventional core buildup would not provide sufficient retention
- Fiber posts may not offer adequate strength in such extensive damage
- Extraction and implant, though possible, were avoided to preserve natural dentition
A custom cast post and core combined with a DMLS crown was selected as the most reliable and long-term solution.
Step-by-Step Treatment Approach
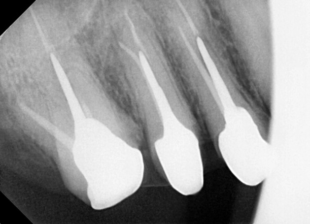
1. Endodontic Foundation (Root Canal Treatment)
The treatment began with a successful root canal procedure. The canal was carefully prepared to receive a custom post while maintaining a 4–5 mm apical seal to ensure long-term success.
2. Custom Cast Post & Core Fabrication
A custom cast post was designed to fit precisely within the root canal.
Benefits:
- Maximum retention and stability
- Strong foundation for crown placement
- Better load distribution across the tooth
3. DMLS Crown Technology (Advanced CAD/CAM Restoration)
The final crown was fabricated using Direct Metal Laser Sintering (DMLS), an advanced digital technology.
Key Advantages:
- Superior marginal fit for long-term sealing
- High strength with uniform metal density
- Reduced adjustments due to precision manufacturing
4. Final Crown Placement
The DMLS crown was cemented, ensuring that chewing forces were distributed along the natural axis of the tooth, reducing fracture risk and enhancing longevity.
Before & After Transformation

Before Treatment
- Severely damaged and weakened tooth
- Inadequate structure for conventional restoration
- Difficulty in chewing

After Treatment
- Fully restored tooth with strong structural support
- Stable and functional for daily chewing
- Natural appearance with improved confidence
Clinical Outcome
The treatment successfully restored both function and stability of the tooth.
Results Achieved
- Strong reinforcement through ferrule effect
- Restoration of full chewing ability
- Long-term durability and resistance to fracture
- Preservation of natural tooth structure

Key Advantages of This Approach
Preserves natural tooth instead of extraction
Ensures long-term functional success
Uses advanced digital technology for precision
Provides superior strength and retention
Minimizes future complications

Expert Insight by Dr. Uttkarsh Shah
Preserving natural teeth is always the preferred approach when the root structure is healthy. With advanced techniques like cast post-core and DMLS crowns, even severely damaged teeth can be restored predictably and functionally for the long term.
